
-
生物通官微
陪你抓住生命科技
跳动的脉搏
突变酶的“漏”活性是神经退行性疾病的基础
【字体: 大 中 小 】 时间:2022年10月09日 来源:Science Signaling
编辑推荐:
加州大学圣地亚哥分校研究发现PKCγ活性增强驱动14型脊髓小脑性共济失调;说明抑制这种酶可能有治疗潜力。
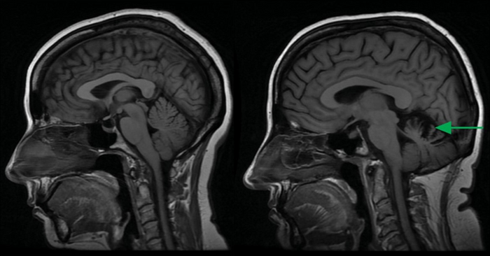
与年龄匹配的健康对照(左)相比,14型脊髓小脑性共济失调患者表现为小脑萎缩(右,绿色箭头)。
图片来源:加州大学圣地亚哥分校健康科学学院
脊髓小脑性共济失调是一组神经退行性疾病,其特征是浦肯野细胞退行性变,浦肯野细胞是小脑的一种主要神经元。由此导致的小脑功能障碍导致患者失去运动协调和控制能力。该疾病的一种亚型,14型脊髓小脑性共济失调SCA14),被发现是由蛋白激酶C- γ (PKCγ)的突变引起的,PKCγ是一种调节浦肯野细胞中其他蛋白质的酶。但这些突变究竟是如何改变酶的功能,最终导致神经退行性变的,目前还不得而知。
在2022年9月27日发表的一项新研究中,加州大学圣地亚哥医学院的研究人员发现,SCA14相关突变破坏了PKCγ的自抑制和降解,导致酶活性水平升高。这种持续的“渗漏”活动改变浦肯野细胞磷蛋白组,从而驱动小脑病理。
“我们的发现揭示了脊髓小脑性失调的重要机制,并将PKCγ定位为这种神经退行性疾病的一个有前途的治疗靶点,”高级作者Alexandra C. Newton博士说,他是加州大学圣地亚哥医学院的药理学杰出教授。
为了了解SCA14相关突变如何影响酶的功能,研究人员首先测量了培养细胞中不同PKCγ变体的活性水平。与更常见的PKCγ变体相比,在蛋白的C1A和C1B结构域有SCA14突变的PKCγ的酶活性显著增强,进一步的实验证实,这是由于构象变化破坏了酶的自抑制和降解。
自抑制是一种现场调节机制,在这个机制中,分子结构中的某些结构域作用于抑制自身的功能。
研究人员随后发现,PKCγ活性的增强导致了细胞环境磷酸化状态的一连串下游变化,特别是与轴突发育和细胞骨架结构相关的信号通路失调。
PKCγ自抑制中断的程度与疾病的严重程度相关,诱导PKCγ活性特别高水平的突变也与疾病发作的早期年龄相关。
PKCγ本身受细胞内钙调节,许多其他类型的脊髓小脑性共济失调是由影响钙稳态的突变驱动的。因此,作者认为,靶向PKCγ可能纠正这一更广泛的信号通路,并证明在治疗多种形式的疾病中有效。
Newton说:“这为治疗靶向PKCγ不仅在SCA14,而且在许多其他亚型的脊髓小脑性共济失调提供了令人兴奋的可能性。”
Mutations in protein kinase Cγ promote spinocerebellar ataxia type 14 by impairing kinase autoinhibition