
-
生物通官微
陪你抓住生命科技
跳动的脉搏
PNAS:在睡眠时观察大脑内部,解密记忆是如何存储的
【字体: 大 中 小 】 时间:2022年10月26日 来源:Proceedings of the National Academy of Sciences
编辑推荐:
一项新的研究研究了大脑深处,在睡眠期间,之前的学习被重新激活,从而提高了记忆力。西北大学的神经科学家与芝加哥大学癫痫中心的临床医生合作,研究了该中心的5名患者在听到研究团队发出的声音时的脑电活动,这是学习练习的一部分。此前的研究都是使用头部电极捕捉到的脑电图记录来测量睡眠时的记忆处理过程,而这是首次从大脑内部记录这种电活动的研究。研究发现,在第二天早上的回忆测试中,参与者的表现显著提高。通过提供视觉数据,识别出参与夜间记忆存储过程的大脑区域,大脑活动图谱使得研究人员在理解记忆存储如何工作方面向前迈进了一大步。
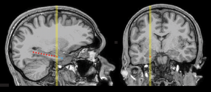
图4 MRI扫描显示典型患者(P1)矢状面和冠状面内颞电极位置。
图片来源:芝加哥大学神经外科
一项新的研究研究了大脑深处,在睡眠期间,之前的学习被重新激活,从而提高了记忆力。
西北大学的神经科学家与芝加哥大学癫痫中心的临床医生合作,研究了该中心的5名患者在听到研究团队发出的声音时的脑电活动,这是学习练习的一部分。
自愿参与研究的5名患者将电极探针植入大脑,目的是研究癫痫的潜在治疗方法。
此前的研究都是使用头部电极捕捉到的脑电图记录来测量睡眠时的记忆处理过程,而这是首次从大脑内部记录这种电活动的研究。
研究发现,在第二天早上的回忆测试中,参与者的表现显著提高。通过提供视觉数据,识别出参与夜间记忆存储过程的大脑区域,大脑活动图谱使得研究人员在理解记忆存储如何工作方面向前迈进了一大步。
虽然研究的患者数量必然较少,但有可能得出强有力的结论,因为所有5名患者都表现出相同的记忆改善和电活动模式。
西北大学认知神经科学项目主任、该项研究的高级研究员肯·帕勒说:“我们正在调查人们是如何设法记住他们学过的东西,而不是忘记它们的。”“我们的观点是,睡眠有助于这种能力。”
帕勒是一位心理学教授,也是西北大学温伯格艺术与科学学院艺术与科学的詹姆斯·帕迪拉讲座教授。
研究合作者包括芝加哥大学的神经学和神经外科研究人员,西北大学、密歇根大学和米德尔伯里学院(佛蒙特州)的心理学研究人员。
这项研究是如何进行的
一天晚上,当每个病人都睡在医院的房间里时,研究小组记录了对10到20个重复出现的声音的电生理反应。所有的声音都播放得非常小声,以避免被唤醒。一半的声音与物体及其精确的空间位置有关,这是病人在睡觉前用笔记本电脑学到的,比如汽车钥匙的叮当声,以帮助回忆它们的位置。
在睡眠后,研究人员发现空间记忆有了系统性的改善,复制了先前使用头皮脑电图记录的研究结果。患者在笔记本电脑屏幕上更准确地指出所记得的位置。
来自植入的大脑电极的新数据显示,在睡眠中出现的物体声音引发了振荡活动的增加,包括θ、σ和gamma脑电图带的增加。
当睡眠中听到声音时,海马体和邻近的大脑皮层内侧颞区出现电生理活动,反映了相应空间记忆的重新激活和加强。
伽马反应与睡眠后空间记忆的改善程度一致。这一电生理学证据使研究人员得出结论,基于睡眠的记忆储存增强发生在这些大脑区域。
帕勒说:“传统的假设是,当人们睡觉时,这些声音会被屏蔽。”相反,这些声音让我们能够证明,当记忆被重新激活时,海马体等大脑结构会做出反应,帮助我们保留清醒时获得的知识。
有时,记忆和遗忘似乎是随机的。我们可以记住不相关的细节,而忘记我们最想记住的东西。这一长期谜题的新答案,在这项研究中得到了强调,就是当我们睡觉时,记忆会被重新审视,即使我们醒来时并不知道它发生过,”帕勒说。