
-
生物通官微
陪你抓住生命科技
跳动的脉搏
悬而未决,恐惧感如何改变大脑?
【字体: 大 中 小 】 时间:2022年08月16日 来源:Cell Reports
神经元通过突触进行交流,突触是一种微小的、像纽扣一样的突起,从一个神经元长出并连接到另一个神经元。这些微小的结构被认为是学习和记忆的支柱,随着我们学习,其强度和数量也会发生变化。突触大约只有人类头发的5000分之一宽,因此很难可视化,研究人员刚刚开始开发必要的工具来实现这一目标。
在8月2日发表在《细胞报告》(Cell Reports)上的一项研究中,中国科学院和上海大学的研究人员结合深度学习算法和高分辨率电子显微镜,绘制出可怕的经历是如何重新排列大脑连接的。他们发现,当小鼠学会害怕蜂鸣器的声音时,它们海马体中的神经元会与下游的其他神经元形成更多的连接,并将更多的线粒体运送到突触位置。这种神经连接的变化增加了大脑的信息存储能力,但没有增加突触密度。这项研究的共同作者使用了一种称为系列切片电子显微镜(ssEM)的技术对小鼠大脑进行了成像,这种技术向组织的薄片发射高速电子束,以产生超高分辨率的图像。这使得研究人员能够可视化最小的结构。这种技术一层一层地捕捉图像,从而得到每一薄片中所有东西的详细图像。这种方法通常会产生大量的数据。在这种情况下,结果是一个杂乱的细胞群,它们的细胞器,传递轴突和树突,以及突触。
西雅图艾伦脑科学研究所(Allen Institute for Brain Science)的分子神经科学家斯蒂芬·史密斯(Stephen Smith)说:“这篇论文充满了非常先进的基于深度学习的图像分析。这是首批将高通量计算电子显微镜与深度学习应用于学习的问题的论文之一……”
费力地处理这些数据可能非常麻烦。ssEM生成的2D图像需要组装成一个3D立方体,在这个立方体中,突触在ssEM图像捕捉到的混乱结构中形成,使研究人员能够从人群中挑选出它们。这项费力的工作通常是手工完成的,可能需要几个小时。
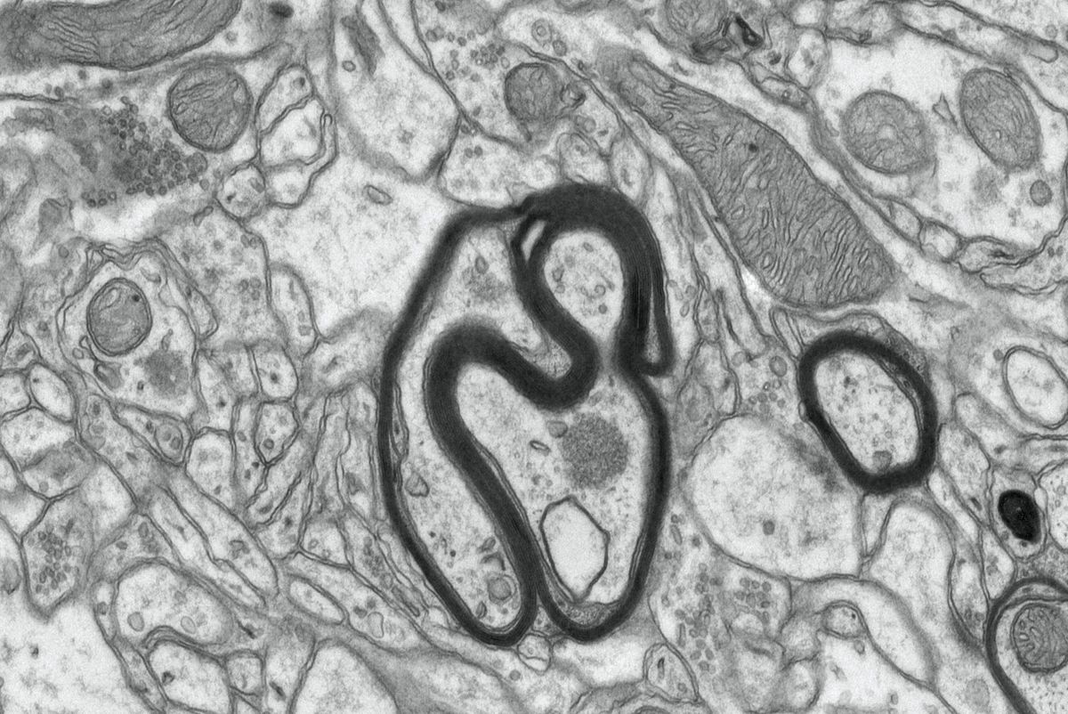
前额叶皮层细胞的透射电镜图像
以前,通过ssEM自动化识别突触的过程的尝试使用了完整的、重建的3D EM图像,而不是单独的2D图像,但要么很慢,要么不如人类做得好。然而,这篇新论文的合著者使用了一种不同的方法。他们训练了一种算法,在每张2D图像上挑选出突触的标志——在突触囊泡、突触间隙和突触后密度中发现的结构。他们还训练了一个单独的算法来寻找线粒体。
然后,一旦算法在每张图像中挑选出突触或线粒体,他们就会使用另一种算法自动将图像排列起来。这大大加快了挑选突触和线粒体的过程,使研究人员能够同时研究数十万个突触。该算法可以在人类三分之一的时间内高精度地挑选出细胞。
两个神经元之间的突触是在被称为突触前扣的特殊部位形成的,它与一个或有时多个树突形成单向连接,树突是神经元的树形分支,构成突触传输的接收端。通常,这是一种一对一的连接,但在小鼠身上,钮扣可以与多个树突形成连接,而树突可以与多个钮扣形成连接。
为了观察这些特定的突触在恐惧学习过程中是如何变化的,研究人员分析了那些学会了将一种与电击有关的音调与脚相联系的小鼠的突触。研究人员发现,虽然突触的数量没有改变,但在恐惧条件反射后,单个突触前钮扣连接到更多的树突。研究小组还发现,突触前钮扣聚集了大量的线粒体,即使是那些没有更多连接的突触。这意味着线粒体在突触前部位分裂迅速。由于线粒体为细胞活动提供能量,并帮助细胞调节钙(触发神经递质释放的分子),它们可能是增加突触强度的重要角色。
然后,研究人员使用机器学习方法和信息论(量化网络存储和传递数字信息的能力)来计算计算神经网络存储的信息量,该神经网络模仿他们用ssEM成像的网络。他们发现,多接触突触比例较大的网络比只有一对一突触的传统网络能够编码更多的信息。这意味着,尽管他们成像的组织中的突触数量没有改变,但在恐惧条件反射后,可能存储在小鼠海马体中的信息比特数仍然增加了。
研究人员将进一步对这些多接触突触进行分类。“有了ssEM数据……你可能可以区分抑制性突触和兴奋性突触,但你不能真正确定它们使用的神经递质类型。他想看看是什么类型的神经调节剂,比如血清素和多巴胺,这些被修改的突触用来刺激它们的突触后伴侣,因为这些分子可能对学习和记忆非常重要。”Smith认为未来的研究可能会从这种方法中受益。“我认为未来如果ssEM……可以做得更容易…人们将开始在……进行这种研究,用不同的实验条件。”