
-
生物通官微
陪你抓住生命科技
跳动的脉搏
胸腔镜交感神经切断术后罕见双侧胸腔积液病例分析及管理策略
【字体: 大 中 小 】 时间:2025年10月03日 来源:BMC Pulmonary Medicine 2.8
编辑推荐:
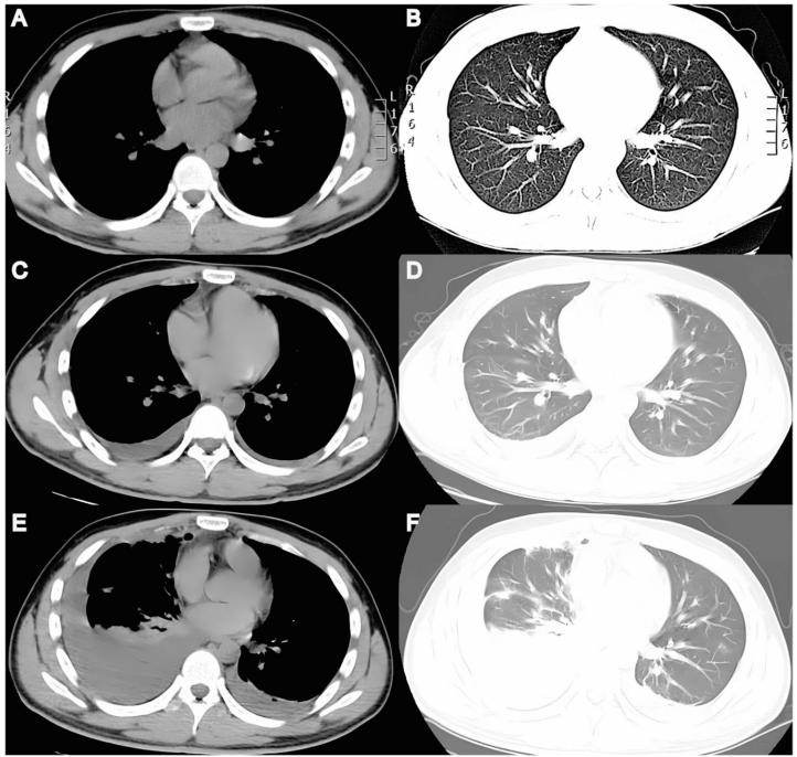
本文报道一例21岁男性在胸腔镜交感神经切断术(TS)治疗原发性多汗症(PH)后出现罕见双侧胸腔积液并发症。研究团队通过胸腔穿刺术和Light's标准确诊为渗出性积液,排除了结核、肿瘤及乳糜胸可能,提出血管通透性增加和淋巴回流障碍的病理机制,为TS术后罕见并发症的诊断与管理提供了重要临床参考。

生物通微信公众号
知名企业招聘