
-
生物通官微
陪你抓住生命科技
跳动的脉搏
综述:欧洲磁共振医学与生物学学会实践推荐:扩散加权MRI
【字体: 大 中 小 】 时间:2025年10月03日 来源:European Radiology 4.7
编辑推荐:
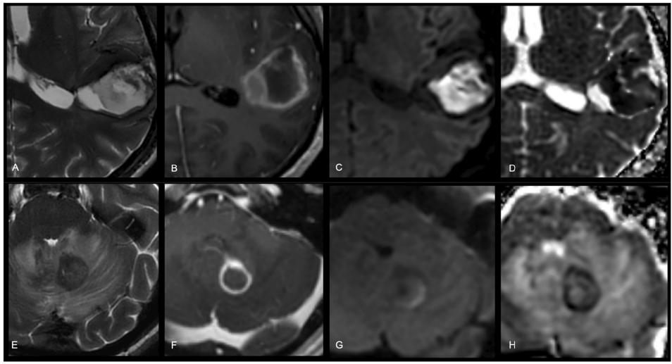
本综述由欧洲磁共振医学与生物学学会(ESMRMB)专家团队撰写,系统阐述了扩散加权成像(DWI)的技术原理、临床应用与标准化实践。文章重点推荐了单次激发回波平面成像(EPI)序列参数优化方案(如TR≥4500 ms、b值范围0-1000 s/mm2),强调了表观扩散系数(ADC)图与原始DWI联合解读的重要性,并详细解析了T2穿透效应、几何畸变等常见伪影的应对策略。该指南为提升DWI在神经系统疾病(如急性脑缺血)和肿瘤(如前列腺癌、乳腺癌)诊断中的准确性与可重复性提供了权威实践框架。





生物通微信公众号
知名企业招聘