
-
生物通官微
陪你抓住生命科技
跳动的脉搏
脂肪源间充质干细胞分化的血小板样细胞抑制大鼠急性肌腱病炎症:一种新型异体移植治疗策略
【字体: 大 中 小 】 时间:2025年10月05日 来源:Journal of Bone and Mineral Metabolism 2.2
编辑推荐:
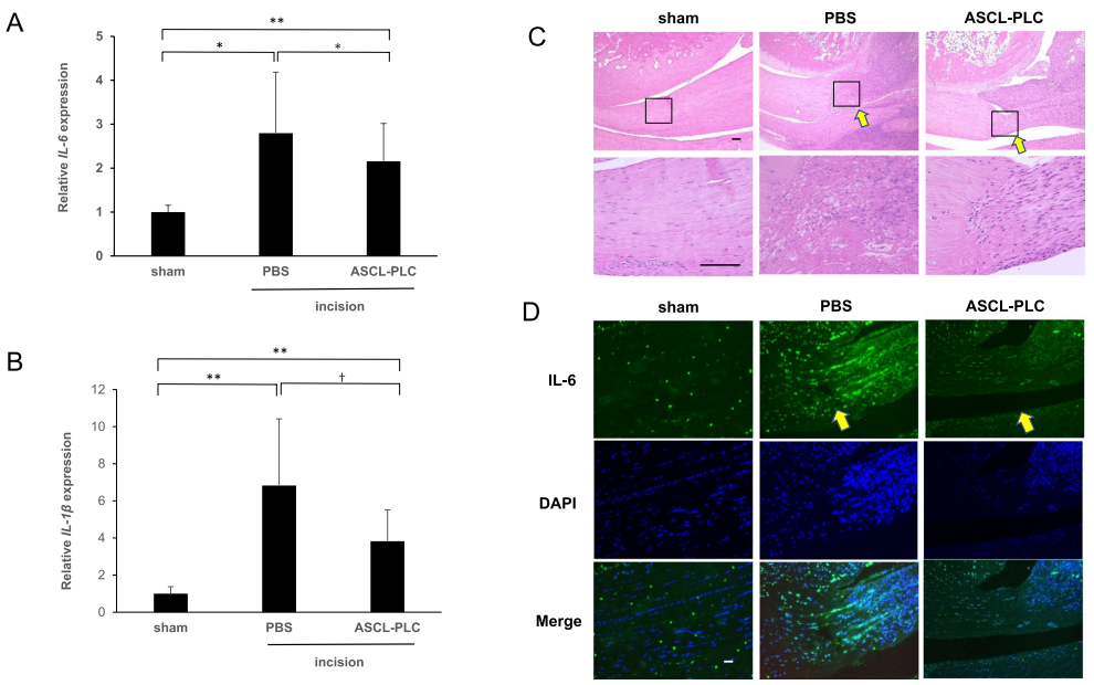
为治疗急性肌腱病炎症并防止其慢性化,研究人员开展ASCL-PLCs(脂肪源间充质干细胞分化的血小板样细胞)治疗研究。结果显示ASCL-PLCs显著抑制IL-6/IL-1β表达和Stat3磷酸化,通过p38通路发挥抗炎作用,且异种移植无排斥反应。该研究为肌腱病提供了可冷冻保存、质量可控的新型异体移植治疗方案。



生物通微信公众号
知名企业招聘