
-
生物通官微
陪你抓住生命科技
跳动的脉搏
后极性白内障合并玻璃体囊肿:一例罕见病例的发现与发病机制探讨
【字体: 大 中 小 】 时间:2025年10月07日 来源:BMC Ophthalmology 1.7
编辑推荐:
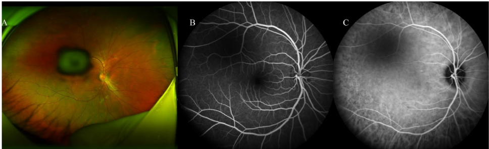
本刊推荐:为解决后极性白内障(PPC)与玻璃体囊肿罕见共存的诊断与发病机制问题,研究人员开展了一项病例主题研究。通过裂隙灯、AS-OCT及FFA/ICGA等多模式影像技术,证实了PPC与附着于后囊膜的色素性玻璃体囊肿的独特关联,排除了PHPV。结果表明囊肿可能源于原始玻璃体系统的囊性迷芽瘤,为理解这两种罕见病变的胚胎发育关联提供了新的临床证据。



生物通微信公众号
知名企业招聘