
-
生物通官微
陪你抓住生命科技
跳动的脉搏
综述:非典型/挑战性部位骨样骨瘤的射频热消融术:来自两个转诊中心的联合经验
【字体: 大 中 小 】 时间:2025年10月07日 来源:Journal of Medical Imaging and Interventional Radiology
编辑推荐:
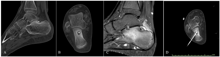
本综述系统探讨了CT引导射频热消融术(CT-RFTA)治疗非典型部位骨样骨瘤(OO)的技术策略与临床价值。作者结合六例罕见部位(指骨、骨骺旁、髋臼内、跟骨、椎体及桡骨)病例,详细阐述了针对毗邻生长板、关节软骨及神经血管结构的保护性技术(如钻孔路径优化、生理盐水隔离灌注等),证实了该技术在复杂解剖区域应用的安全性及有效性(症状完全缓解率100%,无严重并发症),为临床处理特殊类型OO提供了重要参考。


生物通微信公众号
知名企业招聘