
-
生物通官微
陪你抓住生命科技
跳动的脉搏
感染性心内膜炎治疗失败致Gerbode缺损:一例警示性病例报告及达巴万星疗效反思
【字体: 大 中 小 】 时间:2025年09月24日 来源:Cardiovascular Ultrasound 1.6
编辑推荐:
本刊推荐:针对人工瓣膜患者感染性心内膜炎(IE)诊疗难题,本研究通过一例主动脉瓣置换术后患者使用达巴万星(Dalbavancin)治疗失败致Gerbode缺损的病例,揭示长效脂糖肽类抗生素在IE治疗中的局限性,强调对人工瓣膜合并菌血症患者需采用回顾性心电门控CT等多模态影像学早期检测瓣周感染扩展的重要性。
在静脉吸毒人群日益增多的背景下,感染性心内膜炎(Infective Endocarditis, IE)已成为威胁人类健康的重要疾病。尤其令人担忧的是,人工心脏瓣膜患者发生IE的风险显著增高,且更容易出现心脏脓肿、瓣膜开裂、传导异常等严重并发症。尽管现代医学在IE诊断和治疗方面取得了长足进步,但人工瓣膜相关IE的处理仍然充满挑战——瓣膜伪影常导致经食管超声心动图(Transesophageal Echocardiogram, TEE)检查出现假阴性,而新型长效抗生素在复杂IE治疗中的有效性尚缺乏充分证据。
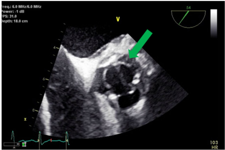
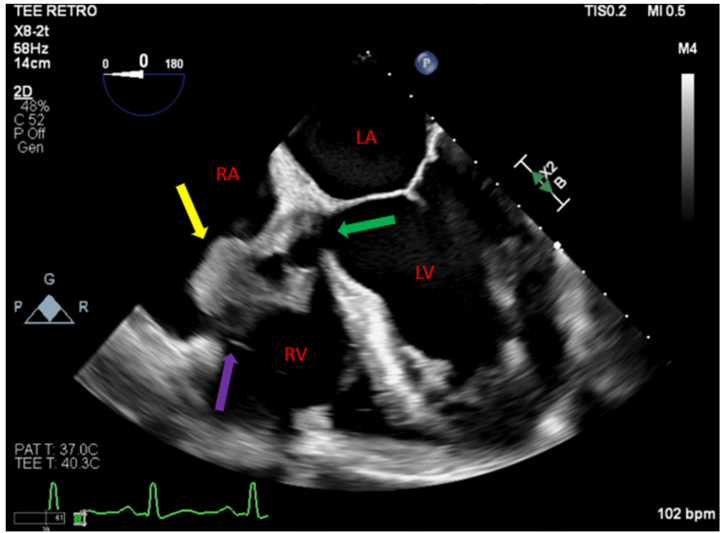
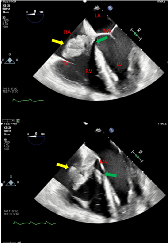
《Cardiovascular Ultrasound》近期报道的一例致命病例凸显了这些挑战的严重性。一名51岁曾有静脉吸毒史和甲氧西林敏感金黄色葡萄球菌(Methicillin-susceptible Staphylococcus aureus, MSSA)心内膜炎病史的男性患者,在接受生物主动脉瓣置换术后再次出现MSSA菌血症。初始TEE检查未发现赘生物或脓肿,患者在接受10天抗生素治疗后出院,并计划每周使用达巴万星(Dalbavancin)进行四次治疗。令人震惊的是,出院仅三天后患者就因发热、精神状态恶化和神经功能缺损再次入院,影像学检查显示大脑、肺脏、脾脏等多器官梗死。尽管重复血培养仍为MSSA阳性,TEE检查再次报告阴性。直到转入四级医疗中心后,TEE才最终发现大型主动脉根部脓肿已侵蚀室间隔膜部,形成左心室至右心房的异常通道——即Gerbode缺损。

研究人员通过系列经食管超声心动图(TEE)、经胸超声心动图(Transthoracic Echocardiogram, TTE)和心电图监测,结合临床表现和影像学发现,完整记录了该病例的病情演变过程。尽管患者符合改良Duke标准中可能IE的诊断条件,但由于发生脓毒性栓塞导致的急性脑卒中,手术团队因担心体外循环所需肝素可能引起出血转化而未能进行急诊手术。

入院时心电图(ECG A)仅显示窦性心动过速和单次室性早搏(Premature Ventricular Contraction, PVC),无明显传导异常。然而随着病情进展,第三天出现新的电传导障碍,心电图(ECG B)显示新发的一度房室传导阻滞和右束支传导阻滞。


紧急TEE检查证实了室间隔完全侵蚀和生物主动脉瓣膜开裂,二维图像清晰显示右心房内大型赘生物和相关的Gerbode缺损。多普勒超声进一步显示主动脉根部感染沿瓣周扩展,室间隔膜部侵蚀入右心房,左心室流出道与右心房之间存在连续性左向右分流,并伴有重度主动脉反流。

患者先后发生两次非可电击心律心脏骤停,尽管复苏努力和血管加压药支持,但由于既往和急性神经功能缺损继发心源性栓塞性脑卒中,进一步医疗治疗和复苏努力被判定无法保证高质量生活,患者最终死亡。
本研究通过这一惨痛病例,揭示了当前IE临床实践中的多个关键问题:首先,人工瓣膜患者发生IE时,TEE可能因声学阴影而漏诊早期脓肿或瓣周并发症;其次,达巴万星作为长效脂糖肽类抗生素,虽在依从性差的患者中具有给药便利的优势,但其在人工瓣膜心内膜炎治疗中的有效性尚未得到充分验证;最后,Gerbode缺损作为一种罕见但致命的心内瘘管并发症,其发病率随着人工心脏瓣膜植入数量的增加而上升,需要临床医生提高警惕。
研究人员强调,对于人工心脏瓣膜合并菌血症的患者,即使TEE检查阴性,也应考虑进行回顾性心电门控心脏CT以评估瓣周扩展。目前尚无已发表的研究表明使用达巴万星治疗的IE患者会进展形成瘘管,需要进一步研究长效脂糖肽类抗生素(如达巴万星)在IE治疗中的有效性。该病例警示我们,对于有人工心脏瓣膜和阳性血培养的患者,如未能早期发现和及时治疗,可能会发生这种罕见但严重的医疗急症。
该研究的价值在于:第一提供了达巴万星治疗人工瓣膜IE失败的详细病例证据;第二明确了多模态影像学在IE诊断中的互补价值;第三为人工瓣膜患者IE并发症的早期识别提供了临床路径参考。这些发现对心内科、感染科和心脏外科医生具有重要的临床指导意义,将有助于提高对这类危重患者的诊治水平。
生物通微信公众号
知名企业招聘