
-
生物通官微
陪你抓住生命科技
跳动的脉搏
冠状动脉CT与遗传性心肌病:一种新的诊断工具?
《The International Journal of Cardiovascular Imaging》:Coronary CT and genetic cardiomyopathy: a new diagnostic tool?
【字体: 大 中 小 】 时间:2025年09月25日 来源:The International Journal of Cardiovascular Imaging 1.5
编辑推荐:
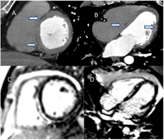
一位52岁男性患者经CCT检查发现心肌脂肪纤维化,CMR进一步证实环状延迟强化,提示arrhythmogenic cardiomyopathy,基因检测确诊FLNC基因致病突变。CCT在心肌评估中具有补充价值。
一名52岁的男性,超声心动图显示其射血分数略有下降,因此接受了冠状动脉造影(CCT)以评估是否存在冠状动脉疾病。CCT结果显示冠状动脉正常,但在心内膜间室间隔和心外膜顶端区域的侧壁上发现了低密度区(脂肪纤维化)(见图1A–B)。鉴于CCT的结果提示可能患有心肌病,为明确病因,进一步进行了心脏磁共振成像(CMR),结果显示心内膜间室间隔以及心外膜下侧和前壁存在环状晚钆增强(LGE)现象(见图1C–D),这提示可能为致心律失常性心肌病。基因检测发现filamin-c基因(FLNC)存在致病性变异。该病例表明,CCT除了可用于评估冠状动脉疾病外,还能提供详细的心肌解剖信息。对于无法进行CMR的患者,CCT可作为组织特征分析的替代方法。虽然CCT在软组织分辨率和组织特征分析方面不如CMR,但近年来扫描仪技术和后处理算法的进步提高了其评估心肌纤维化、脂肪浸润和结构异常的能力。